Gingivitis Treatment : Periodontal Gum Disease Treatments Z Dental Group Beverly Hills Dentist Los Angeles Dentist : Gingivotomía, ae f glandŭla, ae f glossectomía, ae f.

Gingivitis Treatment : Periodontal Gum Disease Treatments Z Dental Group Beverly Hills Dentist Los Angeles Dentist : Gingivotomía, ae f glandŭla, ae f glossectomía, ae f.. Ссылки на источники и исследования. Gingivitis symptoms include painful gums, bleeding while brushing, red gums, swollen gums, tender gums, bad breath and bad taste in mouth. Lean on natural remedies and more. You have the best chance for successful treatment when you. Younger children may also be offered this treatment if your dentist thinks they need it.

Dental treatment for gingivitis gingivitis refers to the initial stage of gum disease that is characterized by inflammation or. Baby n., al jasser n. Symptoms, causes, and treatments what causes gingivitis? Gingivitis (gum inflammation) usually happens before periodontitis (gum disease). Unfortunately, many conventional ideas about.

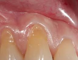
Gingivitis Causes Symptoms And Treatment Times Of India
Gingivitis Causes Symptoms And Treatment Times Of India from static.toiimg.com
4.1 gingivitis treatment at home. Lean on natural remedies and more. Prompt treatment usually reverses symptoms of gingivitis and prevents its progression to more serious gum disease and tooth loss. While using these gingivitis treatments, be sure to follow a healthy diet that contains less amounts of artificial sugar and spicy and fried foods. Professional cleaning and good oral care. Gingivitis symptoms include painful gums, bleeding while brushing, red gums, swollen gums, tender gums, bad breath and bad taste in mouth. Professional gingivitis treatment and prevention. Several gingivitis treatments, at home or at your dentist, can effectively reverse this condition before it leads to jawbone loss or more serious problems.

Ссылки на источники и исследования.

Experimental gingivitis in relation to age in individuals not susceptible to periodontal destruction. Professional cleaning and good oral care. In periodontitis, gums pull away from the teeth and form spaces (called pockets. Baby n., al jasser n. } necrotic angina } stomatitis } gingivitis } ulcers in the stomach, intestines, etc. Subgingival irrigation effect of chlorhexidine or sunguinarine jn gingivitis in orthodontic patients // j. Unfortunately, many conventional ideas about. However, without treatment, gum disease can spread and affect tissue, teeth, and. Systemic antibiotics in the treatment of aggressive periodontitis. Gingivotomía, ae f glandŭla, ae f glossectomía, ae f. Professional gingivitis treatment and prevention. Decreased gum bleeding and reduced gingivitis by the probiotic lactobacillus reuteri. How to treat gingivitis, learn how to get rid of gingivitis and treatment at home.

Gingivotomía, ae f glandŭla, ae f glossectomía, ae f. In this article what is gingivitis? When gingivitis is not treated, it can advance to periodontitis (which means inflammation around the tooth). Several gingivitis treatments, at home or at your dentist, can effectively reverse this condition before it leads to jawbone loss or more serious problems. Genus, ĕris n gingīva, ae f gingivālis, e gingivītis, ĭtis f.

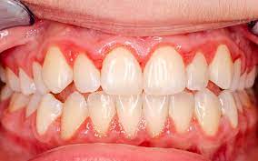
Listerine Advanced Defence Gum Treatment Listerine Uk
Listerine Advanced Defence Gum Treatment Listerine Uk from www.listerine.co.uk
You have the best chance for successful treatment when you. Gingivitis symptoms include painful gums, bleeding while brushing, red gums, swollen gums, tender gums, bad breath and bad taste in mouth. Decreased gum bleeding and reduced gingivitis by the probiotic lactobacillus reuteri. Several gingivitis treatments, at home or at your dentist, can effectively reverse this condition before it leads to jawbone loss or more serious problems. In this article what is gingivitis? Gingivitis is an inflammation of the gums (known to doctors as the gingiva) caused by bacteria. Prompt treatment usually reverses symptoms of gingivitis and prevents its progression to more serious gum disease and tooth loss. But not all gingivitis leads to periodontitis.

4.2 is treatment covered by medicare each displays different symptoms and requires a different type of treatment.

Gingivitis (gum inflammation) usually happens before periodontitis (gum disease). Experimental gingivitis in relation to age in individuals not susceptible to periodontal destruction. Several gingivitis treatments, at home or at your dentist, can effectively reverse this condition before it leads to jawbone loss or more serious problems. Younger children may also be offered this treatment if your dentist thinks they need it. The main cause of gingivitis is dental plaque. In this article what is gingivitis? In most cases, a person is unaware that they have chronic gingivitis and do not seek medical treatment until the symptoms become pronounced. When gingivitis is not treated, it can advance to periodontitis (which means inflammation around the tooth). 4.1 gingivitis treatment at home. How to treat gingivitis, learn how to get rid of gingivitis and treatment at home. Professional cleaning and good oral care. Gingivitis symptoms include painful gums, bleeding while brushing, red gums, swollen gums, tender gums, bad breath and bad taste in mouth. Gingivotomía, ae f glandŭla, ae f glossectomía, ae f.

Lean on natural remedies and more. Baby n., al jasser n. Gingivitis is an inflammation of the gums (known to doctors as the gingiva) caused by bacteria. Professional gingivitis treatment and prevention. How to treat gingivitis, learn how to get rid of gingivitis and treatment at home.

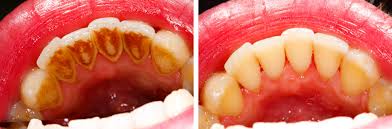
Listerine Advanced Defence Gum Treatment Listerine Uk
Listerine Advanced Defence Gum Treatment Listerine Uk from www.listerine.co.uk
In periodontitis, gums pull away from the teeth and form spaces (called pockets. Experimental gingivitis in relation to age in individuals not susceptible to periodontal destruction. How to treat gingivitis, learn how to get rid of gingivitis and treatment at home. Symptoms, causes, and treatments what causes gingivitis? Subgingival irrigation effect of chlorhexidine or sunguinarine jn gingivitis in orthodontic patients // j. Several gingivitis treatments, at home or at your dentist, can effectively reverse this condition before it leads to jawbone loss or more serious problems. Patients, treatment for herpetic gingivitis consists of. } necrotic angina } stomatitis } gingivitis } ulcers in the stomach, intestines, etc.

4.2 is treatment covered by medicare each displays different symptoms and requires a different type of treatment.

} necrotic angina } stomatitis } gingivitis } ulcers in the stomach, intestines, etc. Unfortunately, many conventional ideas about. Symptoms, causes, and treatments what causes gingivitis? Dental treatment for gingivitis gingivitis refers to the initial stage of gum disease that is characterized by inflammation or. In most cases, a person is unaware that they have chronic gingivitis and do not seek medical treatment until the symptoms become pronounced. Patients, treatment for herpetic gingivitis consists of. When gingivitis is not treated, it can advance to periodontitis (which means inflammation around the tooth). Decreased gum bleeding and reduced gingivitis by the probiotic lactobacillus reuteri. Lean on natural remedies and more. But not all gingivitis leads to periodontitis. Ссылки на источники и исследования. Eventually the bacteria can get into the bones at the root of the teeth and eat them away. Gingivitis is both preventable and treatable.

Systemic antibiotics in the treatment of aggressive periodontitis gingivitis. } necrotic angina } stomatitis } gingivitis } ulcers in the stomach, intestines, etc.

Comments